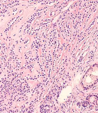
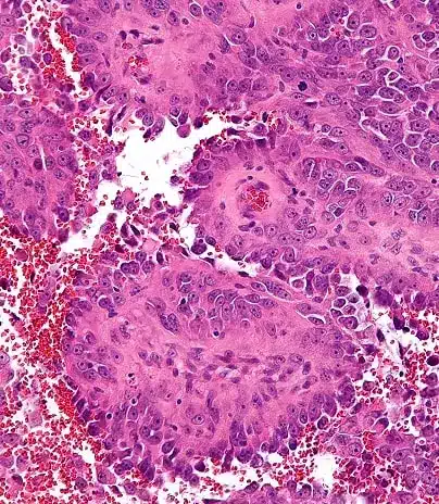
Cancer de Mama Infiltrante

Cáncer de Mama Infiltrante

El cáncer más común en mujeres.

Cáncer de Mama Infiltrante: Una Enfermedad Heterogénea

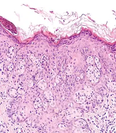
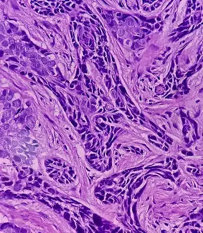
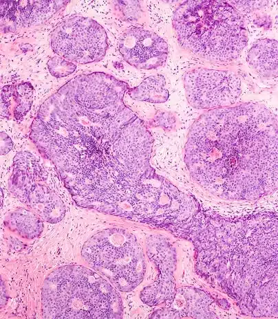
El cáncer de mama infiltrante, lejos de ser una sola enfermedad, abarca múltiples subtipos con características biológicas y pronósticos distintos. Con los avances en medicina personalizada y farmacogenómica, hoy sabemos que cada tumor es único y requiere un enfoque individualizado.

 

Cáncer de Mama Esporádico y Factores de Riesgo

Esporádico vs. Hereditario

  • Aproximadamente 70-80% de los casos son esporádicos (no asociados a la herencia genetica).

  • Factores genéticos, edad al primer parto, nuliparidad y antecedentes familiares influyen en el riesgo.

  • La historia clínica familiar detallada es esencial para identificar síndromes hereditarios.

Hormonas y Receptores

  • Entre el 60% de los tumores son receptor de estrógeno (RE) positivos, lo que mejora el pronóstico y la respuesta a la terapia endocrina.

  • Los receptores de progesterona (RP) y las isoformas del RE influyen en la respuesta terapéutica.

Diagnóstico por Imágenes y Biopsia

Imágenes Clave

  • Mamografía: estándar para cribado en mujeres asintomáticas.

  • Ecografía: esencial para lesiones localizadas y para guiar biopsias.

  • Resonancia Magnética (RM): preferida en mujeres jóvenes de alto riesgo o con mamas densas.

Diagnóstico Sin Cirugía

  • La biopsia core de mama (con aguja gruesa) es el método de elección frente a la aspiración con aguja fina (BAAF) o a la cirugía diagnostica (biopsia quirurgica)

  • La triple evaluación (clínica, imagen y biopsia) debe ser la norma para confirmar el diagnóstico.

Tratamiento Quirúrgico

Cirugía Conservadora vs. Mastectomía

  • La elección debe individualizarse: la cirugía de conservación de mama vs. mastectomía según tamaño tumoral, márgenes y preferencia de la paciente.

  • La mastectomía está indicada cuando no es posible la cirugía conservadora o por elección personal.

  • La cirugía oncoplástica de mamas es una 3era opción que antes de los años 2010s en Perú no existia. Es una modificación de la cirugía de conservación que utiliza técnicas reconstructivas para evitar deformidades en el seno. A día de hoy, es la primera elección para paciente correctamente seleccionados.
  • Siempre debe considerarse la reconstrucción mamaria para el bienestar emocional y físico.

Ganglios Linfáticos Regionales

  • La biopsia del ganglio centinela (BGC) es una técnica quirurgica estándar para evaluar metástasis axilares, en paciente con axila negativa. Se realiza en el mismo acto quirurgico que la cirugía mamaria por cáncer de mama.

  • La disección axilar completa se realiza solo si hay compromiso confirmado. Se individualiza el caso segun el subtipo de cancer de mama.

Importancia de un Enfoque Multidisciplinario

El manejo óptimo del cáncer de mama infiltrante requiere la colaboración entre cirujanos oncólogos, mastólogos, radiólogos, patólogos, oncólogos médicos y especialistas en radioterapia. La cirugía oncoplástica y las técnicas reconstructivas modernas mejoran los resultados estéticos y emocionales de las pacientes.

 

Estoy aquí para ayudarte

Otros signos, sintomas y enfermedades en la mama

Cáncer de Mama Infiltrante

Dr. Gonzalo Ziegler

Retroceder